절개 없이 편안하게,
자신감 넘치는 웃음을 선사합니다.
GM TOP DENTAL CLINIC

무절개 임플란트

통증 없는 편안함의 시작


치아를 상실했을 때 임플란트는 자연 치아에 버금가는 기능과

심미성을 회복시켜주는 가장 효과적인 치료법입니다.

하지만 많은 분들이 임플란트 수술 과정에서의 통증과 붓기,

긴 회복 기간에 대한 걱정으로 망설이시곤 합니다.


광명탑치과는 이러한 부담을 획기적으로 줄여주는

무절개 임플란트 시술을 통해

환자분께 더욱 편안하고 빠른 일상 복귀를 선사합니다.


어떻게 잇몸 절개 없이
임플란트가 가능한가요?

무절개 임플란트의 핵심은 정밀한 디지털 진단과 예측에 있습니다.

광명탑치과는 첨단 3D CT 촬영과 구강 스캐너를 통해

환자분의 잇몸뼈 상태, 신경 및 혈관 위치 등

구강 내부를 3차원으로 정확하게 분석합니다.

이 데이터를 바탕으로 컴퓨터 모의 수술을 진행하여

임플란트가 식립될 최적의 위치, 각도, 깊이를 미리 결정합니다.

GM TOP DENTAL CLINIC

  무절개 임플란트가 가능한 이유  

디지털 네비게이션 기술과의 완벽한 시너지

무절개 임플란트는 단순히 잇몸을 절개하지 않는 기술을 넘어섭니다.

잇몸 속 보이지 않는 뼈의 상태와 신경 및 혈관의 위치를 정확하게 파악하지 않고는 안전하게 시술할 수 없기 때문입니다.

바로 이 지점에서 디지털 네비게이션 임플란트 기술과의 시너지가 빛을 발합니다.

01

정밀한 3D 데이터

3D CT와 구강 스캐너로

환자분의 구강 구조를 정밀하게 분석합니다.


02

컴퓨터 모의 수술

컴퓨터 상에서 임플란트 식립 위치, 깊이, 각도 등을

미리 정확하게 계획하고 가상으로 수술을 진행합니다.


03

수술 유도 가이드 제작

모의 수술로 얻은 완벽한 계획에 따라 환자 맞춤형

수술 유도 가이드를 3D 프린터로 제작합니다.


이처럼 디지털 네비게이션 기술이 제공하는 정밀한 계획과 수술 가이드가 있기에,

의료진은 육안으로 확인하지 않고도 정확한 위치에 최소한의 홈으로 임플란트를 안전하게 식립하는 무절개 시술을 시행할 수 있게 됩니다.

mobile background

광명탑치과 무절개 임플란트의

압도적인 장점

통증, 붓기, 출혈 최소화

잇몸 절개 부위가 없거나 극히 작아 수술 후 통증, 붓기, 출혈이 현저히 적습니다.

빠른 회복과 일상 복귀

회복 기간이 단축되어 수술 다음 날부터도 큰 불편함 없이 일상생활이 가능합니다.

수술 시간 단축

사전에 모든 계획이 완료되어 실제 임플란트 식립 시간이 대폭 줄어듭니다.

감염 위험 감소

잇몸을 열지 않으므로 세균 감염의 위험이 낮습니다.

봉합 불필요

대부분의 경우 봉합 과정이 필요 없어 불편함이 적습니다.

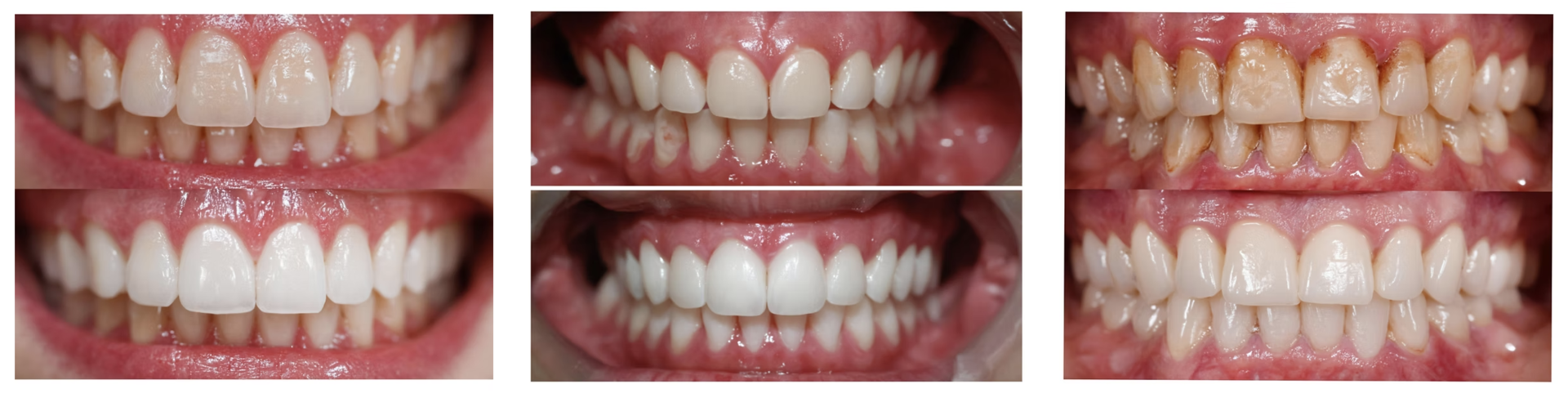
GM TOP DENTAL CLINIC

광명탑치과 무절개 임플란트

Before & After
GM TOP DENTAL CLINIC
이런 분들께
무절개 임플란트를 추천합니다

치과 시술 시 통증에 민감하거나 심한 두려움을 가진 분


고혈압, 당뇨 등 전신 질환으로 출혈 및 회복에 대한 부담이 있는 분


잇몸뼈의 양이 충분하고 질이 양호하여 디지털 계획이 용이한 분


빠르게 치료를 마치고 일상생활로 복귀하고 싶은 분


장시간 입을 벌리기 어려운 분


임플란트 시술 자체에 대한 심리적 부담을 줄이고 싶은 분


mobile background
TOP LEVEL

상호  광명탑치과      대표자  노영훈       사업자번호  318-43-00868       TEL  02-6953-2801       주소   경기도 광명시 광명로 832번길 5, 3층


COPYRIGHT© 2026 광명탑치과의원. All Rights Reseved By Solvidweb